At our Denver location, we offer a comprehensive range of dental treatments, including:
Preventive Care: Regular checkups, cleanings, and oral hygiene education to maintain optimal dental health.
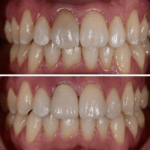
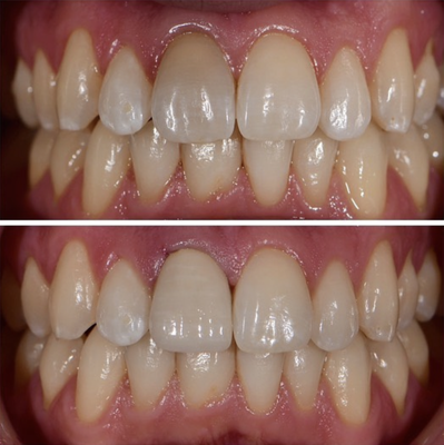
Cosmetic Dentistry: Teeth whitening, veneers, and smile makeovers designed to enhance your natural smile.
Restorative Dentistry: Crowns, fillings, bridges, and dental implants to restore function and aesthetics.
Orthodontics: Traditional braces, ceramic braces, and clear aligners for children, teens, and adults.
Emergency Dentistry: Prompt care for toothaches, broken teeth, lost fillings, and other urgent dental issues.
Monday
Tuesday
Wednesday
Thursday
Friday
Saturday
Sunday
Monday
Tuesday
Wednesday
Thursday
Friday
Saturday
Sunday
Monday
Tuesday
Wednesday
Thursday
Friday
Saturday
Sunday
Monday
Tuesday
Wednesday
Thursday
Friday
Saturday
Sunday
Monday
Tuesday
Wednesday
Thursday
Friday
Saturday
Sunday
Your smile is our passion. We provide expert orthodontic care near you you can trust, helping you achieve confidence and lasting results.
Email:- [email protected]